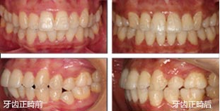
此案例由沈刚教授提供
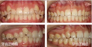
此案例由郭涛医生提供
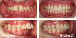
此案例由徐子卿医生提供
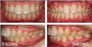
此案例由逄秀凤医生提供
我要立即预约
拜博口腔为您打造专属方案
数字化设备拍片/取模
数字化微笑设计
实施方案,佩戴矫治器
定期复诊调试
沈 刚
上海拜博口腔医院院长 拜博口腔医疗集团医疗执行总裁
咨询医生 >>在线预约 >>
郭 涛
上海拜博口腔医院副院长 正畸博士学位
逄秀凤
矫正总监 副主任医生
徐子卿
拜博舌侧正畸首席医生 上海拜博口腔医院医疗总监
郭 伟
隐适美认证医生 中华口腔医学会正畸学专业委员会委员
曹 帅
上海拜博口腔正畸总监 口腔正畸医学硕士