拜博品牌

医生团队

美牙案例

优惠活动

院区分布

  首页 > 优惠活动 >

【种植特惠】春季送福利,种植牙抄底价等你来

春季种新牙,年年享口福
半口牙缺失、多颗牙缺失、烤瓷牙失败
不想再饱受痛苦?
拜博种植牙解您忧
即日起至4月30日
拜博春季发福利,种牙特惠享不停



拜博春季送福利,种牙特惠享不停

同时,活动期间来拜博种牙
挂号费、全景拍片费、方案设计费
 



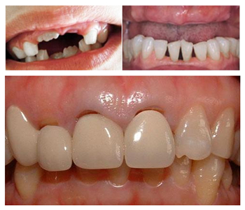
9旬爷叔半口种植牙
 
       苏老先生(化名),90岁高龄,下半口牙缺失。在上海拜博口腔,根据苏老先生的口腔详细情况,李娜院长亲自为其进行了下半口牙的种植覆盖义齿手术。种牙后,苏老先生的生活也大变样。“想吃什么就吃什么,就像小年轻一样!”
 




种植牙,我选拜博
   
前十年,拜博努力让百姓都种得起牙
未来十年,拜博致力于让百姓都种上好牙
 

首页
项目导航
电话咨询
在线咨询
地址
快速导航
牙齿种植
牙齿矫正
牙齿修复
洗牙洁牙
牙齿美白
牙周治疗
儿童齿科